Table of Contents
« prev
next »
Washington University Experience
|
METABOLIC
|
Hypoglycemia
|
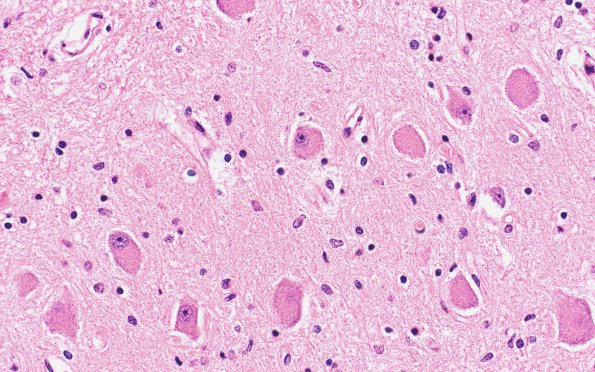
1D5 Hypoglycemia, chronic (Case 1) H&E N9 40X dentate
The neurons of the dentate nucleus are also spared in this case. (H&E)
Image Info
Camera Maker:
Olympus
Camera Model:
DP74
Shutter Speed:
29/6250 sec
Metering Mode:
Average
Gallery RSS
|
Archive View
|
Login
|
Powered by
Zenphoto