Table of Contents
« prev
next »
Washington University Experience
|
METABOLIC
|
Hypoglycemia
|
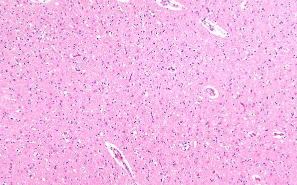
1F Hypoglycemia, chronic, thalamus (Case 1) H&E N4 10X
The thalamus is particularly devastated and gliotic (H&E).
Image Info
Camera Maker:
Olympus
Camera Model:
DP74
Shutter Speed:
14/27451 sec
Metering Mode:
Average
Gallery RSS
|
Archive View
|
Login
|
Powered by
Zenphoto