Table of Contents
« prev
next »
Washington University Experience
|
METABOLIC
|
Hypoglycemia
|
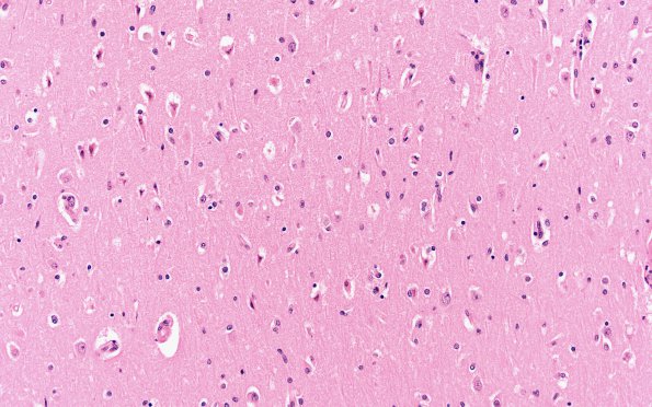
2B7 Hypoglycemia (Case 2) H&E N3 CA1 20X
2B7,8 Neurons in CA1 exhibiting significant eosinophilic neuronal necrosis. (H&E)
Image Info
Camera Maker:
Olympus
Camera Model:
DP74
Shutter Speed:
24/20339 sec
Metering Mode:
Average
Gallery RSS
|
Archive View
|
Login
|
Powered by
Zenphoto