Table of Contents
« prev
next »
Washington University Experience
|
METABOLIC
|
Hypoglycemia
|
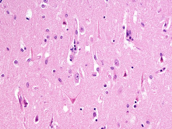
2B8 Hypoglycemic Coma (Case 2) N3 CA1 1
Neurons in CA1 exhibiting significant eosinophilic neuronal necrosis. (H&E)
Image Info
Camera Maker:
Olympus Corporation
Camera Model:
DP70
Original Time Taken:
09-01-2014
Shutter Speed:
1/150 sec
ISO Sensitivity:
200
Metering Mode:
Spot
Gallery RSS
|
Archive View
|
Login
|
Powered by
Zenphoto