Table of Contents
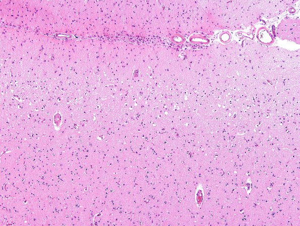
Washington University Experience | METABOLIC | Hypoglycemia | 2C3 Hypoglycemic Coma (Case 2) N1 H&E 1
The first indication of cortical injury in the area of 2C1 marked with an arrow is the development of vacuolation in the superficial cortical layers; however, further inspection suggests ongoing neuronal necrosis in deeper layers as well. (H&E)
