Table of Contents



Washington University Experience | METABOLIC | Hypoglycemia | 3C6 Hypoglycemia (Case 3) Cerebral Cortex H&E 2

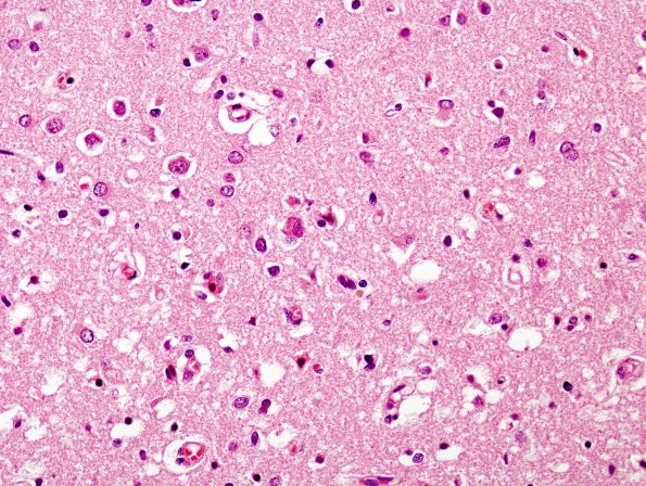
3C6 Hypoglycemia (Case 3) Cerebral Cortex H&E 2
Higher magnification shows eosinophilic neurons with pyknotic nuclei, and reactive astrocytosis. (H&E)


Gallery RSS RSS Feed | Archive View | Login | Powered by Zenphoto