Table of Contents
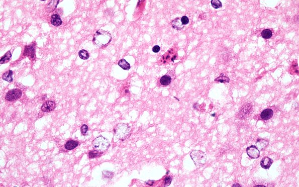
Washington University Experience | METABOLIC | Kernicterus | 9B5 Kernicterus (Case 9) N13 H&E 100X with AlzII 3
Microscopic sections from the basal ganglia and thalami show vacuolation of the neurons, edema and scattered activated microglia, rare hemosiderin laden histiocytes, Alzheimer type 2 astrocytes and apoptotic neurons. Is this the microscopic pathology of kernicterus or the metabolic and hypoxic/ischemic pathology accompanying the complex environment in this patient.
