Table of Contents



Washington University Experience | METABOLIC | MELAS | 2A2 MELAS (Case 2) 2a copy

2A2 MELAS (Case 2) 2a copy
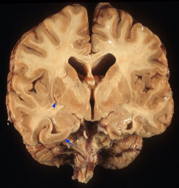
This larger image shows granularity in the basal ganglia (arrowhead) and an area of focal possible polymicrogyria (arrow)


Gallery RSS RSS Feed | Archive View | Login | Powered by Zenphoto