Table of Contents
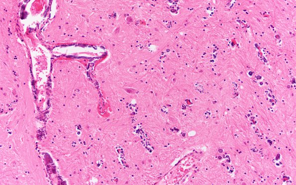
Washington University Experience | METABOLIC | MELAS | 2B3 MELAS (Case 2) N2B Globus Pallidus H&E 1
Notice the calcifications in the walls of the large vessels and the microcalcifications in the walls of the smaller vessels, admixed with neurons and a degree of astrocytosis (H&E).
