Table of Contents
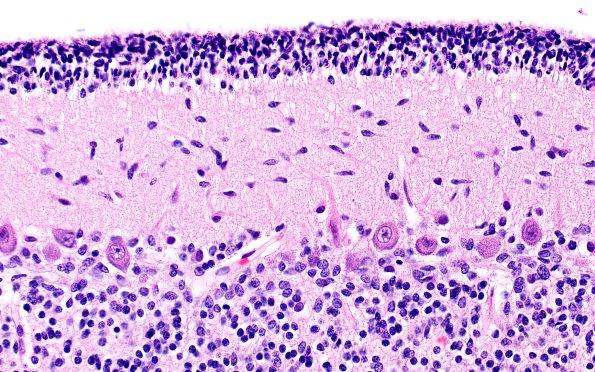
Washington University Experience | METABOLIC | Menkes disease | 4B3 Menkes Dz (Case 4) H&E 40X
There are no substantial dysmorphic changes in the dendritic Purkinje cell arbor comparable to other cases of Menkes disease shown in this atlas. (H&E)
