Table of Contents
Washington University Experience | METABOLIC | Menkes disease | 4C3 Menkes Dz (Case 4) Biels 40X 1
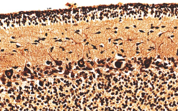
Bielschowsky silver stained tissue also fails to demonstrate dystrophic Purkinje cell dendrites or axonal “torpedoes” (i.e., axonal spheroids). (Bielschowsky stain)
