Table of Contents
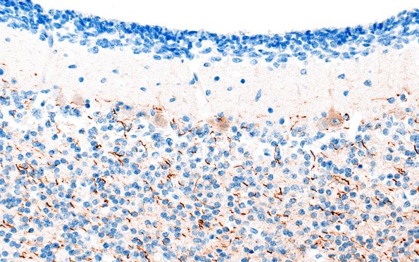
Washington University Experience | METABOLIC | Menkes disease | 4D3 Menkes Dz (Case 4) NF 40X 3
4D3,4 We expected minimal neurofilament immunoreactivity of Purkinje cells; however, we found significant variation from site to site and cell to cell in the cerebellar hemispheres. (NF IHC)
