Table of Contents
Washington University Experience | METABOLIC | Menkes disease | 4D5 Menkes Dz (Case 4) NF 40X 4 copy
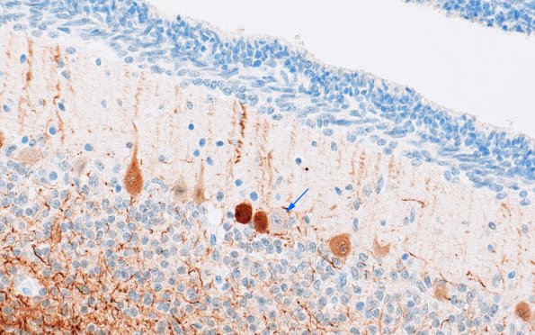
There was a hint of the normal appearing dendritic arbor in this higher magnification image but no substantial dysmorphic changes or axonal torpedoes. Note an occasional Purkinje cell (arrow) is minimally NF immunoreactive. (NF IHC) ---- Comment: Neuropathologic changes are minimal in this case which likely reflects the immaturity of this patient in comparison to older patients.
