Table of Contents
Washington University Experience | METABOLIC | Neuronal Ceroid Lipofuscinosis (NCL) | 10A2 NCL (Case 10) Skin EM 4 - Copy
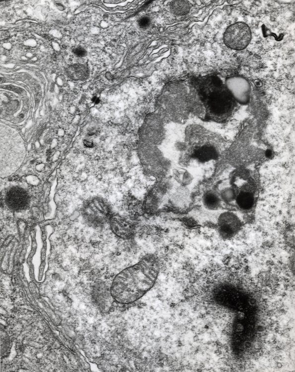
The cytosomes are lysosome-like bodies containing irregular clumped osmiophilic granular materials admixed with delicate tubular material; however, classical fingerprint and curvilinear bodies are not identified.
