Table of Contents
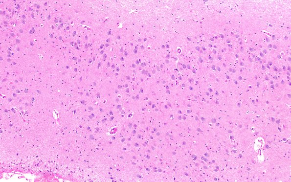
Washington University Experience | METABOLIC | Neuronal Ceroid Lipofuscinosis (NCL) | 10C1 NCL (Case 10) N3 H&E 10x
10C1,2 There is no discernable loss of neurons and gliosis throughout the hippocampal formation, shown here, as well as in the neocortex. Most cortical neurons contain gray, finely granular material filling their perikarya. No granulovacuolar degeneration, Hirano bodies, neurofibrillary tangles, neuritic plaques, Lewy bodies or Pick bodies are present
