Table of Contents
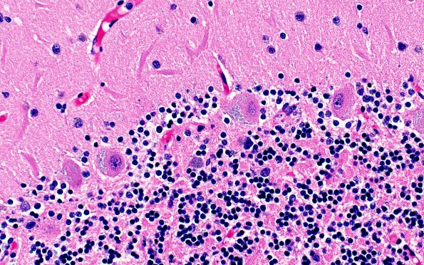
Washington University Experience | METABOLIC | Neuronal Ceroid Lipofuscinosis (NCL) | 10C3 NCL (Case 10) L14 Cbell 40X
10C3,4 There are numerous residual Purkinje cells with orange-tinged granular inclusions in their perikarya. (H&E)
