Table of Contents
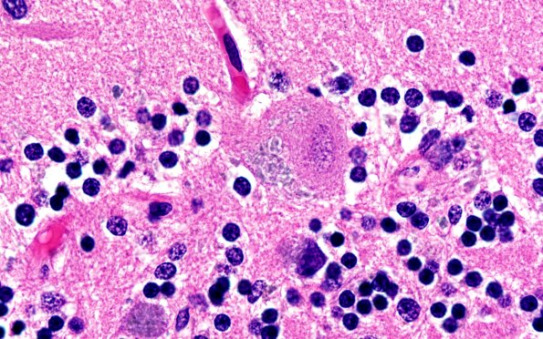
Washington University Experience | METABOLIC | Neuronal Ceroid Lipofuscinosis (NCL) | 10C4 NCL (Case 10) L14 Cbell 100X
There are numerous residual Purkinje cells with orange-tinged granular inclusions in their perikarya. (H&E)
