Table of Contents
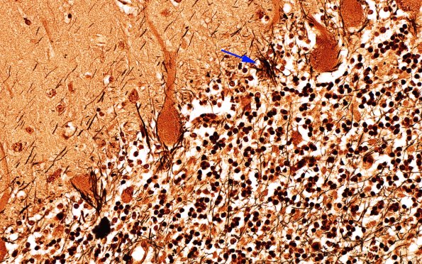
Washington University Experience | METABOLIC | Neuronal Ceroid Lipofuscinosis (NCL) | 10C5 NCL (Case 10) L14 Cbell Biels 40X copy
Occasional Purkinje neuron loss is identified by empty baskets of fibers (arrow) originally surrounding intact neurons such as those adjacent in this image. (Bielschowsky)
