Table of Contents
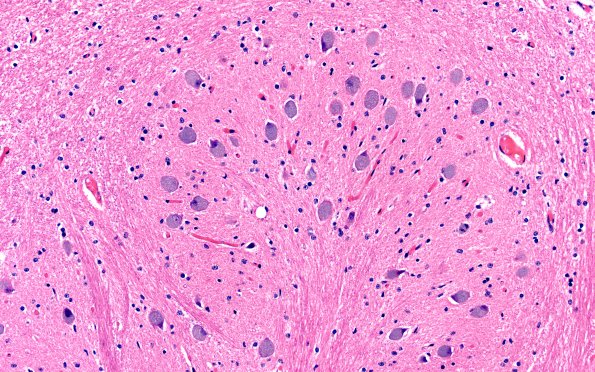
Washington University Experience | METABOLIC | Neuronal Ceroid Lipofuscinosis (NCL) | 10C7 NCL (Case 10) L13 ION 40X H&E
10C7,8 The inferior olivary nucleus, one nucleus that accumulates significant lipofuscin with normal aging, shows substantial superimposition of additional lipopigment in this case. (H&E)
