Table of Contents
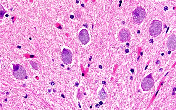
Washington University Experience | METABOLIC | Neuronal Ceroid Lipofuscinosis (NCL) | 10C8 NCL (Case 10) L13 ION 60X H&E
The inferior olivary nucleus, one nucleus that accumulates significant lipofuscin with normal aging, shows substantial superimposition of additional lipopigment in this case. (H&E)
