Table of Contents
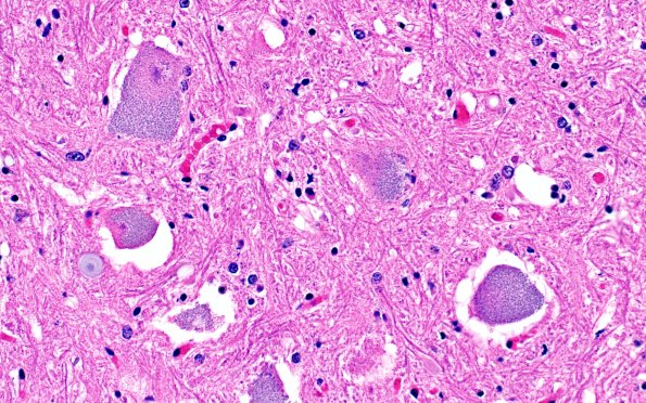
Washington University Experience | METABOLIC | Neuronal Ceroid Lipofuscinosis (NCL) | 10C9 NCL (Case 10) L13 cord 40X H&E
Anterior horn cells in the spinal cord are prominent affected. (H&E) ---- Not shown: There are no beta-amyloid plaques, neuritic plaques, neurofibrillary tangles, or Lewy bodies. ---- Adult-onset familial neuronal ceroid lipofuscinosis (Kufs disease)
