Table of Contents
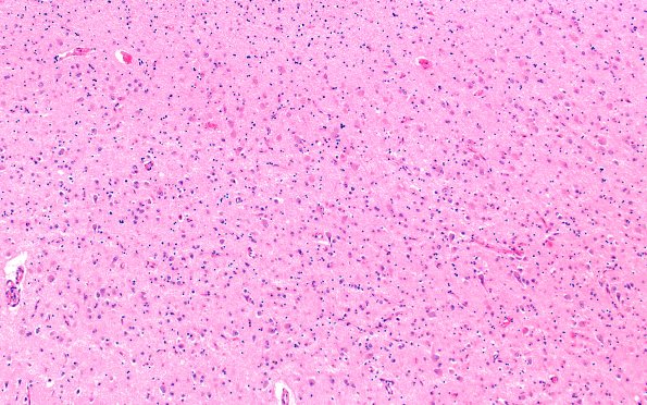
Washington University Experience | METABOLIC | Neuronal Ceroid Lipofuscinosis (NCL) | 11B2 NCL (Case 11) H&E N3 temporal lobe 10X
The sections from the hippocampus, left frontal lobe, medial temporal lobe, and striate cortex show marked neuron loss, gliosis, and disruption of neuronal architecture throughout all of the cortical ribbon.
