Table of Contents
Washington University Experience | METABOLIC | Neuronal Ceroid Lipofuscinosis (NCL) | 11B4 NCL (Case 11) H&E N3 CA1 20X 1
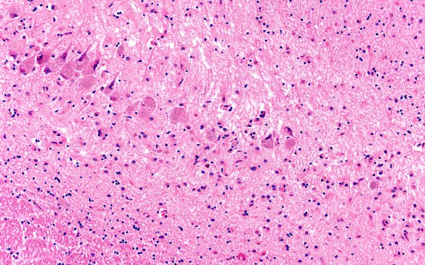
The CA1 subfield shows few remaining neurons, although residual neurons are distended by rotund cytoplasm, which in many instances, compressed the neuronal nucleus into an eccentric position within the cell. In some cases, the cytoplasmic material has a slightly discolored brownish appearance by H&E staining. (H&E)
