Table of Contents
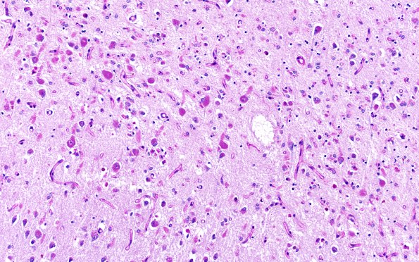
Washington University Experience | METABOLIC | Neuronal Ceroid Lipofuscinosis (NCL) | 11C1 NCL (Case 11) PAS N3 temporal lobe 40X 2
11C1,2 PAS stains demonstrate that the material in the temporal neocortex is diastase resistant, thus demonstrating the glycoprotein consistency of the substance.
