Table of Contents
« prev
Washington University Experience
|
METABOLIC
|
Neuronal Ceroid Lipofuscinosis (NCL)
|
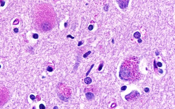
11C3 NCL (Case 11) PAS N1 100X
The frontal lobe shows similar inclusions of PAS reactive inclusions. (PAS+diastase)
Image Info
Camera Maker:
Olympus
Camera Model:
DP74
Shutter Speed:
42/1123 sec
Metering Mode:
Multi-Spot
Gallery RSS
|
Archive View
|
Login
|
Powered by
Zenphoto