Table of Contents
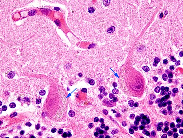
Washington University Experience | METABOLIC | Neuronal Ceroid Lipofuscinosis (NCL) | 1B10 NCL (Case 1) H&E 2 copy
Purkinje neurons are typically spared the age-related accumulation of lipopigment. In these images notice that Purkinje cells accumulate significant amounts of ceroid lipopigment (arrow). (H&E)
