Table of Contents
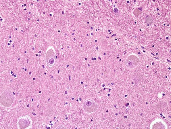
Washington University Experience | METABOLIC | Neuronal Ceroid Lipofuscinosis (NCL) | 1B12 NCL (Case 1) L14 dentate H&E 2.jpg
Even though the dentate nucleus accumulates some lipopigment with age, in this case the accumulation is in excess of that in this relatively young patient. (H&E)
