Table of Contents
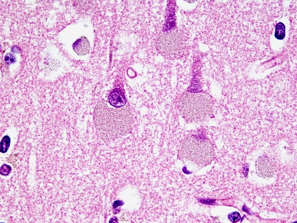
Washington University Experience | METABOLIC | Neuronal Ceroid Lipofuscinosis (NCL) | 1B3 NCL (Case 1) H&E 7
There is mild to focal loss of neurons and gliosis throughout the neocortex. Most cortical neurons contain orangish, finely granular material filling their perikarya, often displacing the nucleus into the apical dendrite. (H&E)
