Table of Contents
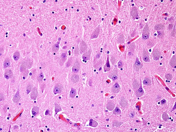
Washington University Experience | METABOLIC | Neuronal Ceroid Lipofuscinosis (NCL) | 1B5 NCL (Case 1) L5 H&E 1.jpg
This section of the hippocampal CA1 subfield shows little astrocytosis and a round-bottomed flask shape to the neurons containing ceroid pigment. (H&E)
