Table of Contents
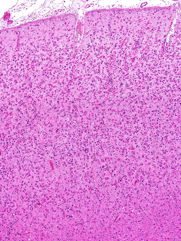
Washington University Experience | METABOLIC | Neuronal Ceroid Lipofuscinosis (NCL) | 1B7 NCL (Case 1) L4 H&E 8A
The occipital lobe shoed subcortical white matter and areas of atrophic cortex in which marked neuronal loss and astrocytosis was accompanied by granular storage product. This appearance may correlate with the visual loss in this patient. (H&E)
