Table of Contents
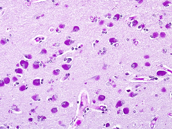
Washington University Experience | METABOLIC | Neuronal Ceroid Lipofuscinosis (NCL) | 1C1 NCL (Case 1) PAS 1
1C1,2 PAS stained cerebral cortex shows distension of the large pyramidal neurons, small neurons and astrocytes with lipopigment. (PAS)
