Table of Contents
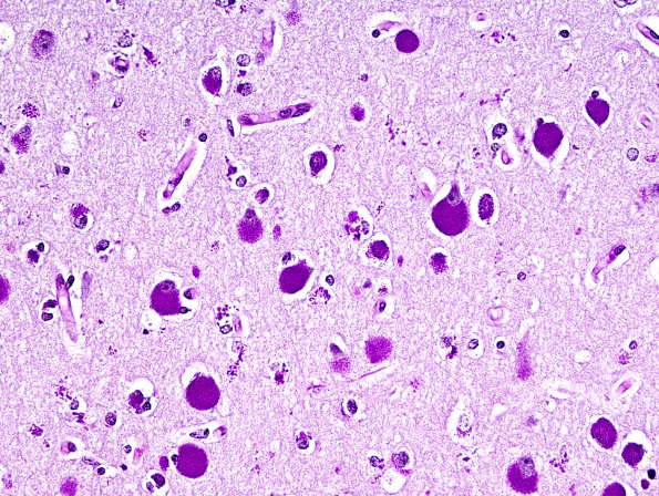
Washington University Experience | METABOLIC | Neuronal Ceroid Lipofuscinosis (NCL) | 1C2 NCL (Case 1) PAS 3
PAS stained cerebral cortex shows distension of the large pyramidal neurons, small neurons and astrocytes with lipopigment. (PAS)
