Table of Contents
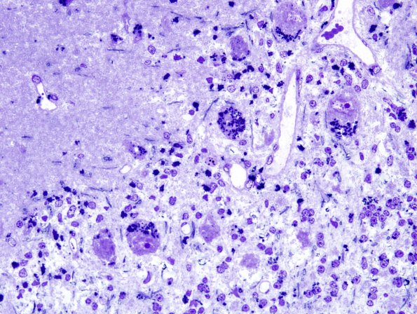
Washington University Experience | METABOLIC | Neuronal Ceroid Lipofuscinosis (NCL) | 1E2 Kuf's Disease (NCL, Case 1) Plastic 4
Stored granular lipopigment is well shown in these toluidine blue stained one-micron thick plastic embedded sections. (Plastic sections)
