Table of Contents
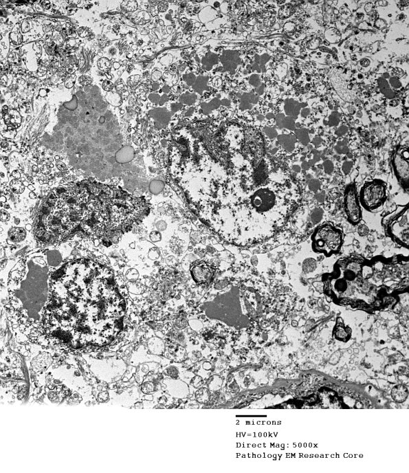
Washington University Experience | METABOLIC | Neuronal Ceroid Lipofuscinosis (NCL) | 1F1A Case 1 NCL CBELL_009 - Copy
1F1A-C Several magnifications of this Purkinje neuron and its accumulated lipopigment. In this variety of NCL the lipopigment lacks fingerprint or obvious curvilinear cytosomes. (electron micrographs)
