Table of Contents
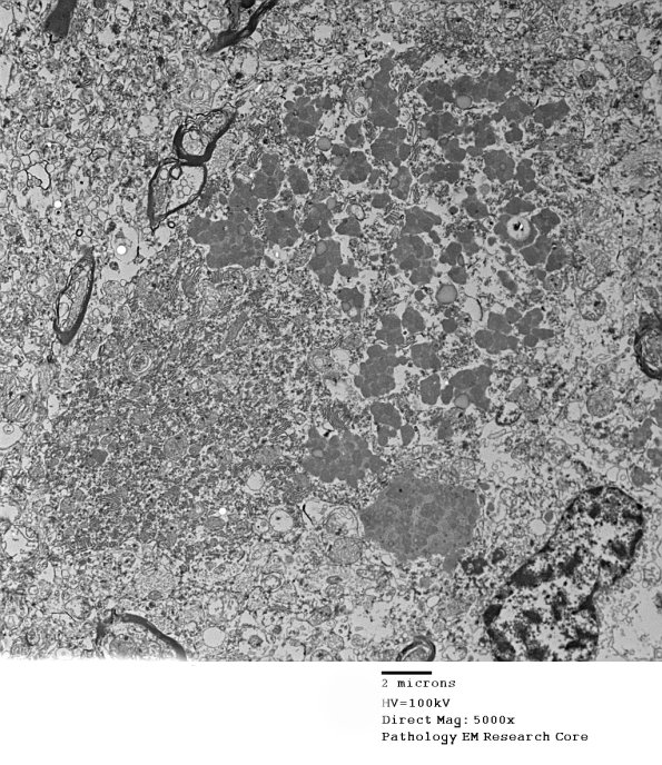
Washington University Experience | METABOLIC | Neuronal Ceroid Lipofuscinosis (NCL) | 1F1E Case 1 NCL CBELL_021 - Copy
1F1E,F This Purkinje neuron contains lipopigment which appears to be composed of smaller spherical osmiophilic material and lipid. (electron micrographs)
