Table of Contents
Washington University Experience | METABOLIC | Neuronal Ceroid Lipofuscinosis (NCL) | 1F2A Case 1 NCL CBELL_005 - Copy
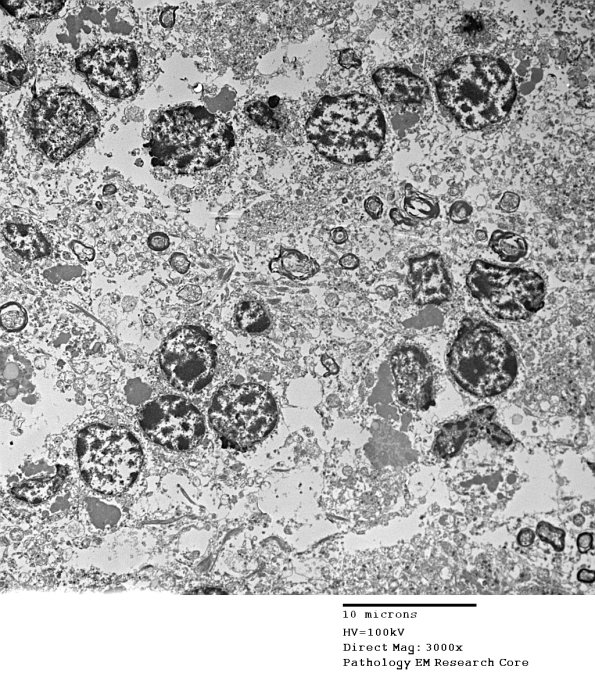
1F2A-C The granule cells in these electron micrographs contain similar large lipopigment granules. (electron micrographs)
