Table of Contents
Washington University Experience | METABOLIC | Neuronal Ceroid Lipofuscinosis (NCL) | 1F2C Case 1 NCL CBELL_007 - Copy
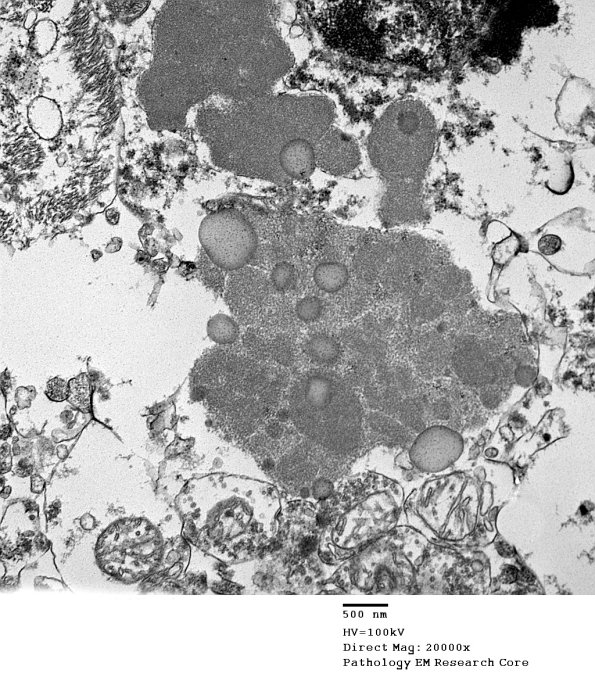
The granule cells in these electron micrographs contain similar large lipopigment granules. (electron micrographs)
