Table of Contents



Washington University Experience | METABOLIC | Neuronal Ceroid Lipofuscinosis (NCL) | 1F3A Case 1 NCL CBELL_008 - Copy

1F3A Case 1 NCL CBELL_008 - Copy
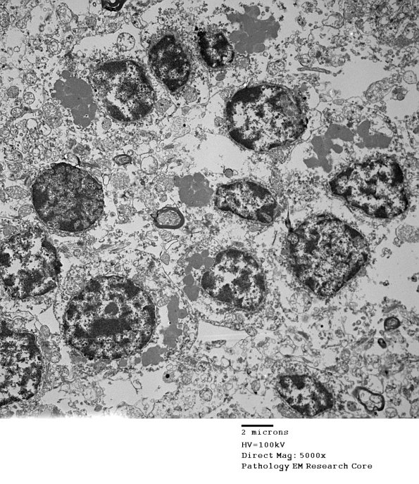
1F3A,B These granule neurons contain large distinctive lipopigment storage granules. (electron micrographs)


Gallery RSS RSS Feed | Archive View | Login | Powered by Zenphoto