Table of Contents



Washington University Experience | METABOLIC | Neuronal Ceroid Lipofuscinosis (NCL) | 1F4A Case 1 NCL CBELL_024 - Copy

1F4A Case 1 NCL CBELL_024 - Copy
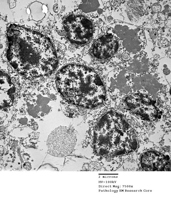
1F4A,B Additional examples of storage product in granule neurons. (electron micrographs)


Gallery RSS RSS Feed | Archive View | Login | Powered by Zenphoto