Table of Contents



Washington University Experience | METABOLIC | Neuronal Ceroid Lipofuscinosis (NCL) | 1F4B Case 1 NCL CBELL_025 - Copy

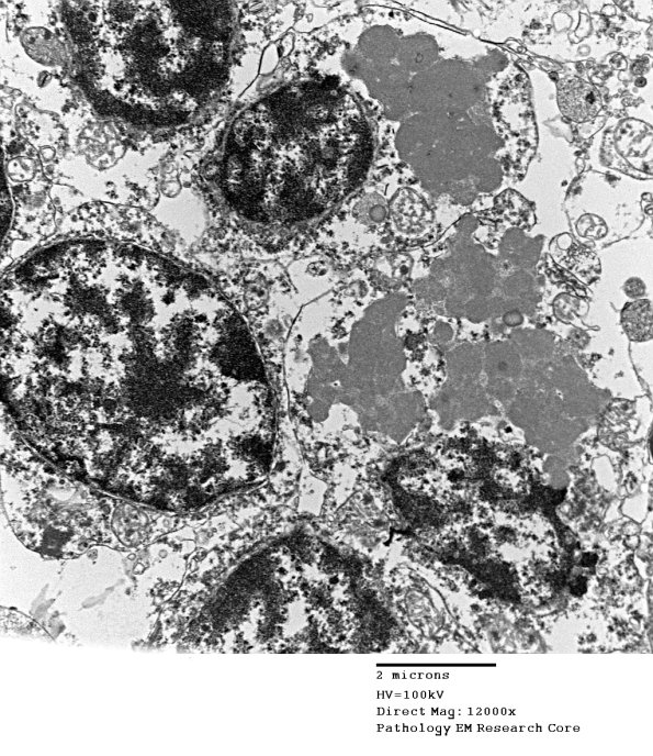
1F4B Case 1 NCL CBELL_025 - Copy
Additional examples of storage product in granule neurons. (electron micrographs)


Gallery RSS RSS Feed | Archive View | Login | Powered by Zenphoto