Table of Contents
Washington University Experience | METABOLIC | Neuronal Ceroid Lipofuscinosis (NCL) | 1F6 Case 1 NCL CBELL_027 - Copy
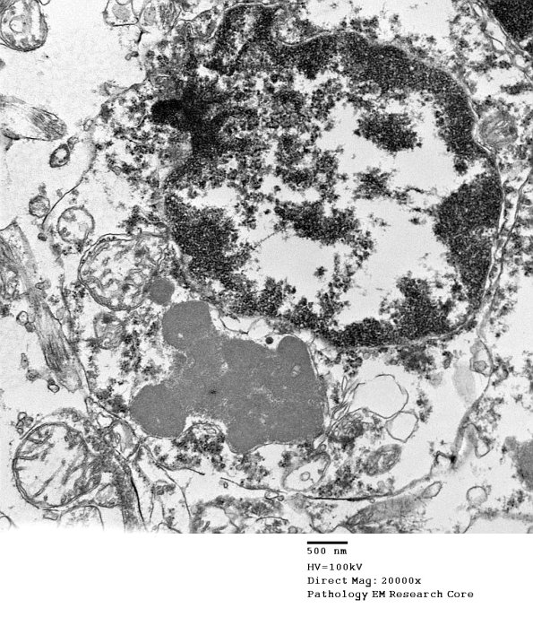
Additional examples of storage product in granule neurons. (electron micrographs) ---- Not shown: There are no beta-amyloid plaques, neuritic plaques, neurofibrillary tangles or Lewy bodies or amyloid angiopathy encountered in this case. The caudate nucleus, putamen, globus pallidus and thalamus show mild neuron loss. There is moderate loss of neurons, extracellular pigment, and gliosis in the substantia nigra. Surviving neurons contain autofluorescent enlarged lipofuscin-containing granules. There is mild loss of motor neurons from the anterior horns which contain large amounts of autofluorescent material which do not appear to correlate with the anterior root gross atrophy. ---- Neuro Final Diagnosis:
Adult-onset familial neuronal ceroid lipofuscinosis (Kufs disease)
