Table of Contents
« prev
next »
Washington University Experience
|
METABOLIC
|
Neuronal Ceroid Lipofuscinosis (NCL)
|
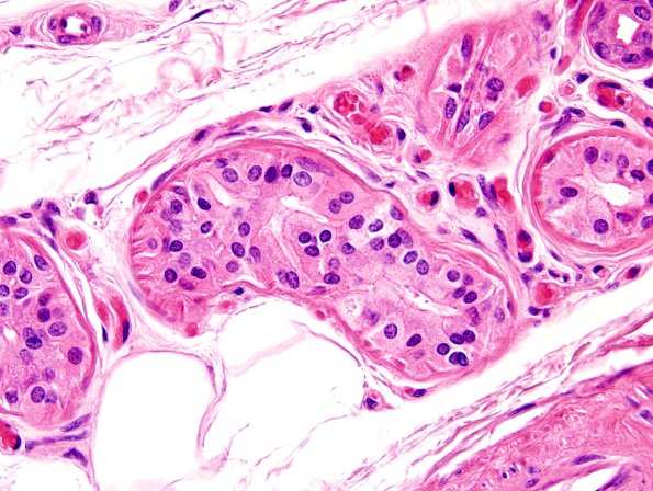
2A3 NCL (Kuf's Dz, Case 2) Skin 3.jpg
This series of H&E stained images of sweat glands/ducts is surprisingly normal in appearance. (H&E)
Image Info
Camera Maker:
Olympus Corporation
Camera Model:
DP70
Original Time Taken:
27-05-2013
Shutter Speed:
1/93 sec
ISO Sensitivity:
200
Metering Mode:
Spot
Gallery RSS
|
Archive View
|
Login
|
Powered by
Zenphoto