Table of Contents
Washington University Experience | METABOLIC | Neuronal Ceroid Lipofuscinosis (NCL) | 2C2 Kuf's Dz (Case 2) Plastic correlates with EM 1 copy.jpg
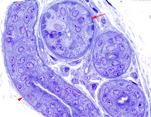
Notice the eccrine glands (arrow) and eccrine ducts (arrowhead). The glands contain deposits of lipopigment and the ducts relatively little. Sweat glands show myoepithelial cells which are lacking in eccrine sweat ducts. (Plastic section)
