Table of Contents
« prev
next »
Washington University Experience
|
METABOLIC
|
Neuronal Ceroid Lipofuscinosis (NCL)
|
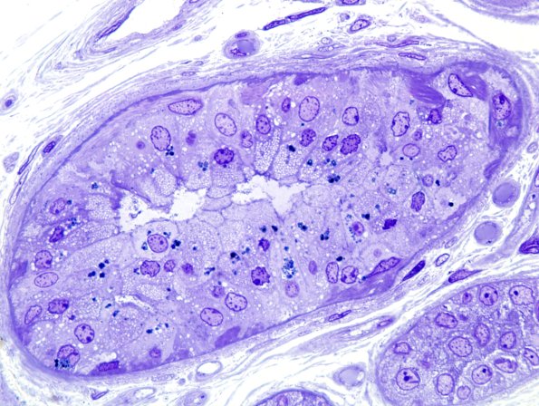
2C3 Kuf's Dz (Case 2) Plastic 3.jpg
2C3,4 Eccrine glands in this patient contain large numbers of inclusions. (Plastic section)
Image Info
Camera Maker:
Olympus Corporation
Camera Model:
DP70
Original Time Taken:
26-06-2013
Shutter Speed:
4/13 sec
ISO Sensitivity:
200
Metering Mode:
Spot
Gallery RSS
|
Archive View
|
Login
|
Powered by
Zenphoto