Table of Contents



Washington University Experience | METABOLIC | Neuronal Ceroid Lipofuscinosis (NCL) | 2D1A Kuf's Disease, skin (Case 2) EM 075 - Copy

2D1A Kuf's Disease, skin (Case 2) EM 075 - Copy
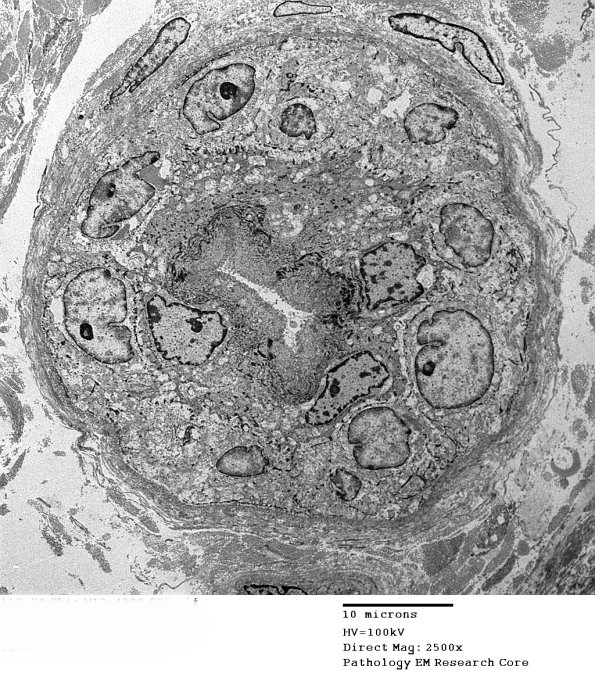
An eccrine duct, note luminal microvilli. (electron micrograph)


Gallery RSS RSS Feed | Archive View | Login | Powered by Zenphoto