Table of Contents



Washington University Experience | METABOLIC | Neuronal Ceroid Lipofuscinosis (NCL) | 2D1B Kuf's Dz (Case 2) Skin 035 copy - Copy

2D1B Kuf's Dz (Case 2) Skin 035 copy - Copy
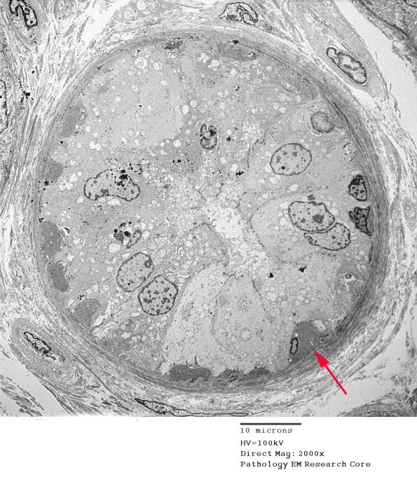
This is an eccrine gland with myoepithelial cells (arrow). (electron micrograph)


Gallery RSS RSS Feed | Archive View | Login | Powered by Zenphoto