Table of Contents



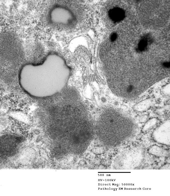
Washington University Experience | METABOLIC | Neuronal Ceroid Lipofuscinosis (NCL) | 2D2D Kuf's Disease, skin (Case 2) EM 100 - Copy

2D2D Kuf's Disease, skin (Case 2) EM 100 - Copy
Higher magnification of image #2D2C. (electron micrograph)


Gallery RSS RSS Feed | Archive View | Login | Powered by Zenphoto