Table of Contents
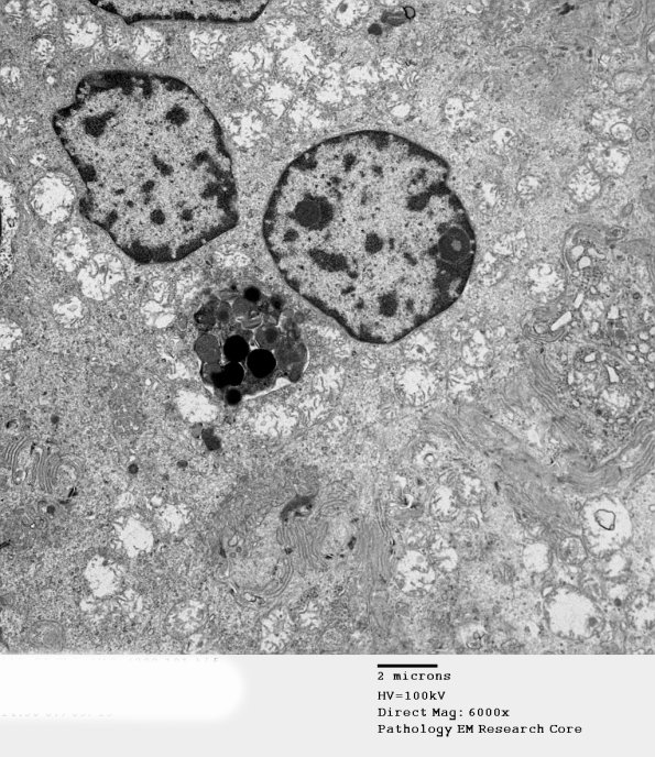
Washington University Experience | METABOLIC | Neuronal Ceroid Lipofuscinosis (NCL) | 2D3A Kuf's Disease, skin (Case 2) EM 101 - Copy
2D3A-C These inclusions are very similar within the related families with Kufs disease we have examined and represent a mixed bag of osmiophilic densities, some granular elements, rare lamellated elements and hints at curvilinear forms. (electron micrograph)
