Table of Contents
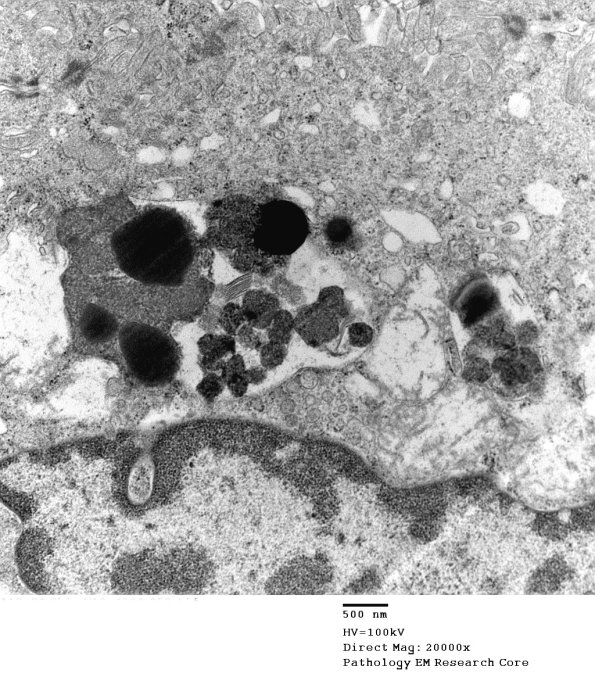
Washington University Experience | METABOLIC | Neuronal Ceroid Lipofuscinosis (NCL) | 2D5B Kuf's Dz (Case 2) Skin 053 - Copy
The conglomerate appear of the lipopigment in these images is typical for these family cases. (electron micrographs)
