Table of Contents



Washington University Experience | METABOLIC | Neuronal Ceroid Lipofuscinosis (NCL) | 2D8B Kuf's Dz (Case 2) Skin 066 - Copy

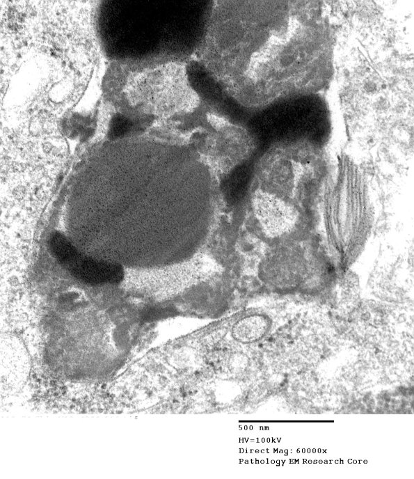
2D8B Kuf's Dz (Case 2) Skin 066 - Copy
Higher magnification of image #2D8A. (electron micrograph)


Gallery RSS RSS Feed | Archive View | Login | Powered by Zenphoto